2022-01-05 15:15发布
做过一些填充,但是明显感觉比医生说的持续的要久,能摸得到。
之前听到一种说法是注射进去的玻尿酸可能形成球形,不太容易自行溶解,所以会用更长的时间3年,4年都有可能。
这样的话是应该听之任之还是打溶解酶?希望有人帮忙解答~~谢啦
大部分诊所都会告诉你:玻尿酸填充一般维持6-12个月。
但我也常见有人会感觉一个月效果就不见了。。。
但是事实是,很多人在6、7年后,依然能对着镜子看到眼下浮肿——那不自然的凸起,也与年龄无关,更不代表该补玻尿酸了。。。
其实是,该补溶解酶了。
不信我们来用MRI扫描仪照照:
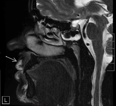
以下这张就是一个在嘴唇打过玻尿酸的患者的扫描图:
箭头指向的白 {MOD}部分就是残余的玻尿酸,上唇和下唇都有,甚至的上唇上面有一圈看起来像“长胡子”。
就以玻尿酸丰唇为例,很多人每隔一段时间就会去注射玻尿酸,因为他们觉得每次打完能维持的时间太短了。但是从MRI仪器里面看的话,会发现皮肤里的玻尿酸其实在越来越往上移动,越来越靠近鼻子,而不是消失了。
这是因为无论是吃还是说还是唱,咱们嘴巴是每天需要动最多的部位之一。当然,很多人并不知道这个情况,而是持续的注射玻尿酸,造成嘴唇越来越凸出,这也是「鸭子嘴巴」的由来。
这是关于玻尿酸填充一个非常残酷的现状:大家会渐渐忘记自己原来长什么样,审美上慢慢习惯自己“凸嘴”的样子,而这一点心理上是鲜有人意识到的。
再来说说另一个例子,玻尿酸填充苹果肌 和 玻尿酸填充泪沟。
这是一位大约已经打了玻尿酸1-2年的朋友的MRI图像(这图着实有点吓人)
图中箭头指向的白 {MOD}部分就是玻尿酸了,这些玻尿酸旁边的黑 {MOD}区域就是脂肪。
图中,上面箭头指向的是玻尿酸,下面箭头指向的是脂肪。
如果你曾经打过玻尿酸,那证明你脸上的浮肿不一定是脂肪造成的(你是真的肿了,不是胖了)。
还有就是由此可见,打玻尿酸一定要保守,别总觉得效果没了,就去打一次又一次,打苹果肌的各位,你们想变成花栗鼠吗??想变成大脸怪吗??
总结
玻尿酸不会消失,只会移动。而且无论你打在哪个部位,玻尿酸都是会移动的,只是时间问题。
所以反过来想这件事,不一定要打那种真的会维持很久的玻尿酸,打那种本身维持时间短一些的玻尿酸说不定会更好。反正几个月后,效果没了,玻尿酸还是会残留在皮肤内。先看看这个效果是否是你想要的,如果不是的话,这种玻尿酸后期分解也比较快。
你注射完一段时间之后,玻尿酸填充的效果不一定在了,但是它本身肯定多多少少还是存在在你的皮肤里的。如果你想要维持玻尿酸填充带给你的效果,持续的注射就可以无限期的保持这个效果。
对于题主的情况,如果你不满意玻尿酸带给你的效果 或者 玻尿酸填充对你的脸部产生了其他的影响,这才是溶解酶发挥作用的时候。
OK 话说回来 到底是什么在影响玻尿酸的持久度?
这里有几个因素:
填充剂的材料
填充剂的稠度
注射位置
每个人身体对于填充物质的代谢速度
鉴于其他方面我也没怎么了解过,今天就只来说一说注射的位置吧。
01 注射在眼睛周围
使用透明质酸填充泪沟,效果可以维持12个月或者更久。治疗眼睛下方,瑞蓝是最常见的选择,因为它的质地足够坚固,可以支撑起眼下比较薄的皮肤。
02 注射在脸颊周围
使用透明质酸填充可以维持24个月,在12个月的时候可以去补一些有助于延长时效。但如果使用其他材料的填充物,如羟基磷灰石钙,那效果大概只维持15个月左右,在7个月的时候要去补一些。总而言之,填充脸颊用的玻尿酸需要选择厚重一点的质地。
03 注射在鼻子周围(非手术隆鼻)
使用像瑞蓝这样比较坚固,而又薄的玻尿酸可以更有效的塑造鼻子形状。这种透明质酸填充可以维持长达2年,在6个月的时候需要去补一些,在第9个月到第12个月的时候需要再去看看医生。
04 注射在嘴唇(丰唇)
玻尿酸丰唇的话,通常需要注射3次才能达到理想的效果,因为第1、2次的时候填充物会被压缩掉。完成多次疗程之后,效果通常可以维持12个月左右。丰唇用的是比较软的质地的玻尿酸。
05 注射在嘴角
透明质酸填充可以维持1年之久,但在6个月的时候需要去补一些。注意:如果透明质酸不小心被注射进了血管,就会被溶解掉。
06 注射在下巴(丰下巴)
丰下巴通常需要用到不一样产品的结合,这样出来的效果能维持15个月到24个月(中间需要去补一些)。
最多设置5个标签!
大部分诊所都会告诉你:玻尿酸填充一般维持6-12个月。
但我也常见有人会感觉一个月效果就不见了。。。
但是事实是,很多人在6、7年后,依然能对着镜子看到眼下浮肿——那不自然的凸起,也与年龄无关,更不代表该补玻尿酸了。。。
其实是,该补溶解酶了。
不信我们来用MRI扫描仪照照:
以下这张就是一个在嘴唇打过玻尿酸的患者的扫描图:
箭头指向的白 {MOD}部分就是残余的玻尿酸,上唇和下唇都有,甚至的上唇上面有一圈看起来像“长胡子”。
就以玻尿酸丰唇为例,很多人每隔一段时间就会去注射玻尿酸,因为他们觉得每次打完能维持的时间太短了。但是从MRI仪器里面看的话,会发现皮肤里的玻尿酸其实在越来越往上移动,越来越靠近鼻子,而不是消失了。
这是因为无论是吃还是说还是唱,咱们嘴巴是每天需要动最多的部位之一。当然,很多人并不知道这个情况,而是持续的注射玻尿酸,造成嘴唇越来越凸出,这也是「鸭子嘴巴」的由来。
这是关于玻尿酸填充一个非常残酷的现状:大家会渐渐忘记自己原来长什么样,审美上慢慢习惯自己“凸嘴”的样子,而这一点心理上是鲜有人意识到的。
再来说说另一个例子,玻尿酸填充苹果肌 和 玻尿酸填充泪沟。
这是一位大约已经打了玻尿酸1-2年的朋友的MRI图像(这图着实有点吓人)
图中箭头指向的白 {MOD}部分就是玻尿酸了,这些玻尿酸旁边的黑 {MOD}区域就是脂肪。
图中,上面箭头指向的是玻尿酸,下面箭头指向的是脂肪。
如果你曾经打过玻尿酸,那证明你脸上的浮肿不一定是脂肪造成的(你是真的肿了,不是胖了)。
还有就是由此可见,打玻尿酸一定要保守,别总觉得效果没了,就去打一次又一次,打苹果肌的各位,你们想变成花栗鼠吗??想变成大脸怪吗??
总结
玻尿酸不会消失,只会移动。而且无论你打在哪个部位,玻尿酸都是会移动的,只是时间问题。
所以反过来想这件事,不一定要打那种真的会维持很久的玻尿酸,打那种本身维持时间短一些的玻尿酸说不定会更好。反正几个月后,效果没了,玻尿酸还是会残留在皮肤内。先看看这个效果是否是你想要的,如果不是的话,这种玻尿酸后期分解也比较快。
你注射完一段时间之后,玻尿酸填充的效果不一定在了,但是它本身肯定多多少少还是存在在你的皮肤里的。如果你想要维持玻尿酸填充带给你的效果,持续的注射就可以无限期的保持这个效果。
对于题主的情况,如果你不满意玻尿酸带给你的效果 或者 玻尿酸填充对你的脸部产生了其他的影响,这才是溶解酶发挥作用的时候。
OK 话说回来 到底是什么在影响玻尿酸的持久度?
这里有几个因素:
填充剂的材料
填充剂的稠度
注射位置
每个人身体对于填充物质的代谢速度
鉴于其他方面我也没怎么了解过,今天就只来说一说注射的位置吧。
01 注射在眼睛周围
使用透明质酸填充泪沟,效果可以维持12个月或者更久。治疗眼睛下方,瑞蓝是最常见的选择,因为它的质地足够坚固,可以支撑起眼下比较薄的皮肤。
02 注射在脸颊周围
使用透明质酸填充可以维持24个月,在12个月的时候可以去补一些有助于延长时效。但如果使用其他材料的填充物,如羟基磷灰石钙,那效果大概只维持15个月左右,在7个月的时候要去补一些。总而言之,填充脸颊用的玻尿酸需要选择厚重一点的质地。
03 注射在鼻子周围(非手术隆鼻)
使用像瑞蓝这样比较坚固,而又薄的玻尿酸可以更有效的塑造鼻子形状。这种透明质酸填充可以维持长达2年,在6个月的时候需要去补一些,在第9个月到第12个月的时候需要再去看看医生。
04 注射在嘴唇(丰唇)
玻尿酸丰唇的话,通常需要注射3次才能达到理想的效果,因为第1、2次的时候填充物会被压缩掉。完成多次疗程之后,效果通常可以维持12个月左右。丰唇用的是比较软的质地的玻尿酸。
05 注射在嘴角
透明质酸填充可以维持1年之久,但在6个月的时候需要去补一些。注意:如果透明质酸不小心被注射进了血管,就会被溶解掉。
06 注射在下巴(丰下巴)
丰下巴通常需要用到不一样产品的结合,这样出来的效果能维持15个月到24个月(中间需要去补一些)。
一周热门 更多>